Inicio Blog

Blog

SALUD BUCAL

¿Qué es una caries interproximal?

La caries interproximal aparece entre dientes y puede avanzar “en silencio”. Aquí te explico cómo se forma, cómo se diagnostica a tiempo y qué tratamientos ayudan a evitar complicaciones.

Prevención Lectura: 6 min

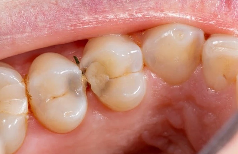
La caries interproximal se forma en los puntos de contacto entre dientes adyacentes. Al no ser visible a simple vista, suele detectarse tarde, cuando la lesión ya alcanzó la dentina. Un diagnóstico oportuno evita tratamientos más complejos como endodoncias o coronas.

¿Cómo aparece y por qué es tan común?

La placa bacteriana se acumula fácilmente entre dientes, especialmente si no se usa limpieza interdental. Los ácidos producidos por bacterias ante la ingesta frecuente de azúcares desmineralizan el esmalte, avanzan a dentina y generan cavitación.

  • Zonas de difícil acceso: el cepillo no llega al punto de contacto.
  • Dieta alta en azúcares: “picoteos” frecuentes elevan el riesgo.
  • Apiñamiento dental: complica la higiene entre dientes.
  • Boca seca o medicamentos: disminuyen el efecto protector de la saliva.

Diagnóstico: cómo se detecta a tiempo

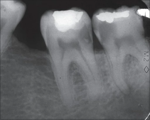
En consulta se realiza exploración clínica y, con frecuencia, se indican radiografías de aleta de mordida para visualizar el área interproximal. En fases muy tempranas, puede verse como una zona radiolúcida triangular en el esmalte.

La radiografía de aleta de mordida permite detectar lesiones interproximales incipientes.

Síntomas: ¿si duele, ya es tarde?

Las lesiones iniciales no duelen. Cuando hay sensibilidad al frío, dulce o al morder, la caries probablemente ya alcanzó dentina. Alimentos que se impactan entre dientes o cambios de color también son señales de alerta.

Tratamiento según la profundidad

1) Lesión inicial sin cavitación

  • Re-mineralización con flúor tópico profesional o barnices.
  • Ajuste de dieta y control de frecuencia de azúcares.
  • Higiene interdental diaria supervisada.

2) Caries cavitada

  • Eliminación selectiva del tejido afectado.
  • Restauración con resina compuesta buscando anatomía y contacto adecuados.

3) Caries profunda o con síntomas pulpares

  • Valoración pulpar; puede requerir endodoncia.
  • Refuerzo con incrustación o corona según el caso.

En fases avanzadas, la pérdida de estructura obliga a tratamientos más extensos.

Prevención que funciona

  • Usa hilo dental o cepillos interdentales todos los días.
  • Cepilla 2–3 veces/día con pasta fluorada (1450 ppm para adultos).
  • Evita “picar” azúcares entre comidas; prefiere agua sobre bebidas azucaradas.
  • Revisiones cada 6 meses o según indicación; aletas de mordida periódicas para control.
  • En alto riesgo, considera barnices de flúor y medidas preventivas personalizadas.

En resumen

  • La caries interproximal es frecuente y silenciosa.
  • El diagnóstico temprano con aletas de mordida evita tratamientos mayores.
  • La higiene interdental diaria es la medida preventiva más efectiva.

Conclusión

Detectar la caries entre dientes a tiempo cambia por completo el pronóstico. Con hábitos adecuados y controles regulares, es posible mantener tus dientes sanos y evitar procedimientos complejos.

VALORACIÓN PERSONALIZADA

¿Notas sensibilidad entre dientes o comida que se atora?

Agenda una valoración. Revisamos contactos interdentales y, si es necesario, tomamos aletas de mordida para detectar caries a tiempo y darte un plan preventivo personalizado.

✓ Revisión clínica ✓ Diagnóstico temprano ✓ Plan preventivo
Agendar por WhatsApp

Si gustas, envíame tu nombre y tu disponibilidad. Respondo en horario de atención.